‌نەخۆشی کرۆیتزفێڵد-جاکۆب: بکوژە نادیار و خێراکەی مێشک

وێستگە ستایل-

نەخۆشی کرۆیتزفێڵد-جاکۆب: بکوژە نادیار و خێراکەی مێشک


وێستگە ستایل - سۆلین عوسمان


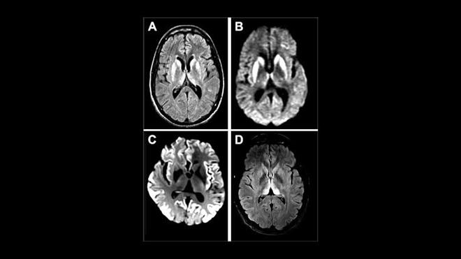
نەخۆشی کرۆیتزفێڵد-جاکۆب (CJD) بە شێوەیەکی کتوپڕ و بێ ئاگادارکردنەوە هێرش دەکات، مێشکی تەندروست و کارا دەگۆڕێت بۆ حاڵەتێکی داڕماوی دەماری، کە زۆرجار لە ماوەی چەند مانگێکی کەمدا کۆتایی بە ژیانی مرۆڤ دەهێنێت. ئەمە نەخۆشییەکە کە تێیدا کات وەک دوژمنێکی سەرسەخت کار دەکات و ڕێگە بە هیچ دەرفەتێک بۆ گەڕانەوە نادات.


ئەم تێکچوونە کوشندەیە بەهۆی جۆرە پرۆتینێکی نائاساییەوە دروست دەبێت کە پێیان دەوترێت "پڕایۆن". ئەم پڕایۆنانە دەبنە هۆی تێکشکاندنی شانەکانی مێشک و دروستکردنی کوناوی ورد و بچووک تێیدا، بە جۆرێک مێشک لە ژێر مایکرۆسکۆپدا وەک ئیسفەنجێک دەردەکەوێت. نیشانەکانی نەخۆشییەکە بریتین لە لەدەستدانی خێرای یادگە، گۆڕانی کەسایەتی، تێکچوونی هاوسەنگی جەستە و داڕمانی توندی توانای عەقڵی، کە وای لە مرۆڤ دەکات لە ماوەیەکی زۆر کورتدا توانای ناسینەوەی دەوروبەری نەمێنێت.


بە پێچەوانەی زۆربەی نەخۆشییەکانەوە، CJD بە دەرمانی ئاسایی چارەسەر ناکرێت، چونکە پڕایۆنەکان زیندەوەر نین تا بکوژرێن، بەڵکو پرۆتینی شێواون کە بەرگرییەکی سەرسوڕهێنەریان هەیە بەرامبەر بە ڕێگاکانی پاکژکردنەوەی باو. لە ئێستادا توێژەران هەموو سەرنجی خۆیان خستووەتە سەر دۆزینەوەی پێشوەختە و تێگەیشتن لەوەی کە چۆن ئەم پرۆتینە زیانبەخشانە لەناو مێشکدا بڵاودەبنەوە و چۆن دەکرێت ڕێگری لە گۆڕانی پرۆتینە تەندروستەکان بکرێت بۆ پڕایۆن.


ئەم نەخۆشییە لە کۆتاییەکانی سەدەی بیستەمدا سەرنجی جیهانی بۆ خۆی ڕاکێشا، ئەوەش دوای دەرکەوتنی پەیوەندی نێوان جۆرێکی ئەم نەخۆشییە و سەرچاوە خۆراکییە پیسبووەکان و هەروەها ئامێرە پزیشکییەکان. ئەمەش بووە هۆی گۆڕانکارییەکی ڕیشەیی لە یاساکانی تەندروستی گشتی و ستانداردە جیهانییەکانی سەلامەتی نەشتەرگەری، تا ڕێگری لە بڵاوبوونەوەی ئەم بکوژە بێدەنگە بکرێت.


هەرچەندە هێشتا چارەسەرێکی یەکجاری لە ئاسۆدا نییە، بەڵام توێژینەوە بەردەوامەکان لەسەر شێواوی پرۆتینەکان نەک تەنها بۆ CJD گرنگن، بەڵکو کلیلێکی سەرەکین بۆ تێگەیشتن لە نەخۆشییە دەمارییە باوەکانی وەک ئەلزەهایمەر و پارکینسۆن. ئەمەش وای کردووە کە لێکۆڵینەوە لەم نەخۆشییە دەگمەنە ببێتە خاوەن بایەخێکی زانستی جیهانی کە سوودەکەی بۆ هەموو مرۆڤایەتی دەبێت.


سەرچاوە: سەرچاوەکانی توێژینەوەی دەمارزانی و تەندروستی گشتی


PM:04:38:01/02/2026


ئه‌م بابه‌ته 376 جار خوێنراوه‌ته‌وه‌‌

ستایل